トリートメント
ギャラリー
TREATMENT GALLERY
BEAM ON
40分 ¥11,000
歯ぎしり食いしばりで固まった筋肉に当て血流リンパの流れを促進させ筋肉を弛緩させています。
いびき療法
1回の施術 ¥77,000
ナイトレーズレーザー治療1回で軟口蓋口垂が引き締まり呼吸が楽になり、いびきが改善しました!!
ヒアルロン酸
ほうれい線の改善 hard 1cc ¥55,000
嚙み合わせによりできてしまったほうれい線を嚙み合わせ治療とヒアルロン酸注入により整えてみました。
ブラックトライアングルの改善 soft 1cc ¥33,000
歯ぎしりによる強い咬合力で歯肉退縮が起ったケースでその歯肉にヒアルロン酸注入し、息漏れや食べかすが溜まるのが改善されました。
口唇 soft 1cc¥33,000 ほうれい線 hard 1cc ¥55,000 total¥88,000
きれいな歯並びになった矯正後でしたが、ほうれい線は唇のボリュームが減少してしまったケースにヒアルロン酸注入でボリューム復活
フローPMTC
1回の施術 フロー¥6,600 PMTC¥6,600 total¥13,200
徹底的なクリーニングで歯のくすみをとり健康を取り戻しました。
ホワイトニング
The BEST WHITENING 症例 1回の施術 ¥33,000
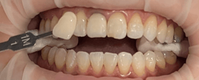
ノンプレップべニア
ノンプレップべニア症例 治療回数 2回 上の前歯6歯 3か月補償付き ¥462,000
医療アートメイク(リップ)
1回の施術 ¥99,000
歯並びの影響で軟組織(上下唇)の形が整わないのをアートメイクで改善しました。ご本人様のお好きな色でととのえました。
リップエステ
1回の施術 ¥3,300
術前 乾燥し厚みも少ないです。/術後 保湿され厚みが回復しました!!
再生治療
乳歯歯髄幹細胞上清液の注入 1回の施術¥44,000
術前 触れるだけで出血がありました。/術後 出血がかなり減少しており歯肉が引き締まってきました。
乳歯歯髄幹細胞培養上清液療法
歯周病になっている歯肉に注入し、改善を図っています。